治療の解説
【治療の解説】
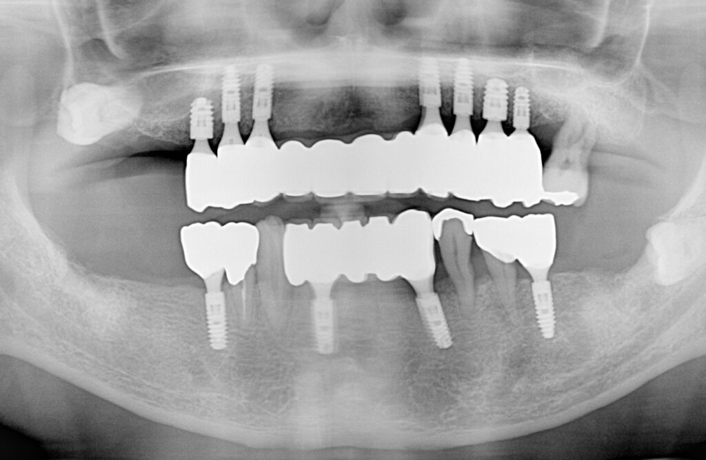
60歳代男性。上顎のぐらぐらした歯を抜いて、部分入れ歯となりました。固定性のインプラント治療を選んで頂き、時間をかけて治療をさせてもらいました。歯を喪失しただけでなく、歯周病で歯ぐきもやせてしまったので、やせたしまった分の歯ぐきもピンクセラミックで修復し、11本連結のインプラントブリッジとしました。『インプラント治療には最初に費用がかかるが、長期的に見れば、入れ歯の煩わしさやブリッジで健康な歯を削る損失を補ってあまりある恩恵がある』とのことです。この患者さんのように、適切なメンテナンスを続けることで、長期的な機能回復が期待できます。当クリニックのインプラント治療で、友人との食事を心から楽しめるようになります。食事を楽しむための特別な治療法を複数用意しておりますので、あなたに合った治療法を一緒に見つけ、ご家族や友人との食事を大いに楽しみましょう!(※下の歯は上顎の治療の終了後、インプラント治療をしてあります。)


処置内容
上顎の部分入歯をやめて、固定性のインプラント治療をし、12年経過した症例
治療期間
約6か月
費用
約260万円(2014年当時)
リスク・副作用
- インプラント治療には保険が適用されないので自費(保険適用外)での診療となります。
- インプラントの埋入ともない、外科手術が必要となります。
- インプラントの耐用年数は、口腔内の環境(骨・歯肉の状態、噛み合わせ、歯磨きの技術、メンテナンスの受診頻度、喫煙の有無など)により異なります。
高根デンタルクリニック|Takane Implant Center
[ご予約TEL]0550-84-6480
※完全予約制となっておりますので、事前にご予約をお願いいたします。
※初診の方、再診で月初め来院の方は保険証の提示をお願いいたします。
- 診療科目:一般歯科、小児歯科、口腔外科、矯正歯科
- 診療時間:午前診療 12:00まで、午後診療 18:00まで
- 休診日:日曜日、水曜日、祝祭日
