Skip to content
ロゴイメージ
ロゴイメージ
    • 医院紹介
      About
    • 院長プロフィール
      Dr.Takiguchi
    • インプラント治療
      Implant
    • 審美治療
      Aesthetic
    • 歯周病治療
      Periodontal
    • 矯正治療
      Orthodontics
    • 再生歯科医療
      PRGF-Endoret

menu
  • ロゴイメージ
  • 医院紹介
    About
  • 院長プロフィール
    Dr.Takiguchi
  • インプラント治療
    Implant
  • 審美治療
    Aesthetic
  • 歯周病治療
    Periodontal
  • 矯正治療
    Orthodontics
  • 再生歯科医療
    PRGF-Endoret
高根デンタルクリニック > 症例紹介 > インプラント

インプラントの一覧

インプラント治療の症例別治療法として、全顎欠損、多数歯欠損、少数歯欠損、骨造成・PRGF等の様々な治療症例をご覧ください。また総入れ歯など、多くの歯を失ってしまった患者様のお悩みにフルアーチインプラントも採用しています。

レントゲン画像
お知らせ
症例紹介
インプラント

食事を心から楽しむ!ー入れ歯をやめインプラントにした12年経過症例

治療の解説 【治療の解説】 60歳代男性。上顎のぐらぐらした歯を抜いて、部分入れ歯となりました。固定性のインプラント治療を選んで頂き、時間をかけて治療をさせてもらいました。歯を喪失しただけでなく、歯周病で歯ぐきもやせてし […]

2026.02.21. ( Wed )

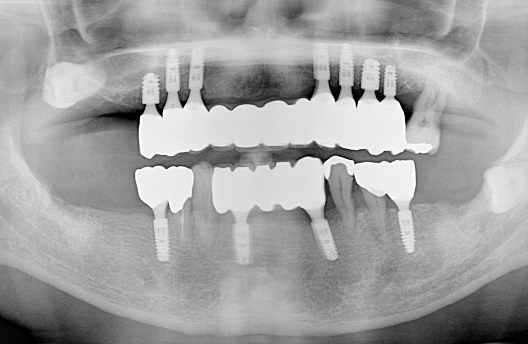
下顎の無歯顎に4本のインプラントで固定式ブリッジ
インプラント

下顎の無歯顎に4本のインプラントで固定式ブリッジした症例

治療の解説 60歳代男性の下顎の無歯顎に4本のインプラントで固定式ブリッジした症例です。下顎の総入れ歯が合わないとのことで来院なさいました。固定性の義歯をご希望でしたので、インプラント治療に関する手術、上部構造、メインテ […]

2025.03.08. ( Wed )

インプラント
矯正治療

左下奥歯に部分的な矯正治療とインプラント治療を組み合わせて咬む機能を改善した症例

治療の解説 30歳代 女性、左下奥歯に部分的な矯正治療とインプラント治療を組み合わせて咬む機能を改善した症例です。歯を喪失したまま放置が続くと、歯並びや咬み合わせが悪化してきます。今回は、欠損の放置により、奥歯が手前にだ […]

2024.11.11. ( Wed )

インプラント

総入れ歯と部分義歯をインプラント治療でしっかり咬める固定式の歯に改善した症例

治療の解説 60歳代 男性、上顎に現在使用中の総入れ歯よりもしっかり咬める固定式の歯にするため、インプラントを合計7本埋入し12本分の歯を入れた症例及び、下顎の部分義歯を固定式のインプラントにするため左右大臼歯部に1本ず […]

2024.10.24. ( Wed )

インプラント

取り外しにくい義歯と不適合ブリッジを固定式のインプラントに変更し改善した症例

60歳代 女性、上顎の取り外し式の義歯を固定式のインプラントブリッジにするためインプラントを合計8本埋入し12本分の歯を入れた症例及び、下顎の前歯部の不適合ブリッジを抜去しインプラントを合計7本埋入し11本分の歯を入れた […]

2024.10.24. ( Wed )

インプラント

前歯の歯根折れによる腫れをインプラント治療、骨増生治療、第三種再生医療で改善

40歳代女性、上顎の前歯を抜歯直後即時にインプラント治療、骨増生治療も同時に行い、更に第三種再生医療で改善した症例 治療の解説 一般的に、特に女性の方では、上顎前歯部を支える外側の歯槽骨が非常に薄い構造になっていることが […]

2024.10.19. ( Wed )

インプラント
審美治療

グラグラする上顎の前歯、インプラント治療とオールセラミックで審美治療をした症例

50歳代女性、上顎の前歯にインプラントとオールセラミックで審美治療をした症例 治療の解説 レントゲン検査の結果、上顎前歯2本の歯根が破折していることが確認されました。これは、神経を除去した後に装着される「さし歯(被せ物) […]

2024.10.19. ( Wed )

インプラント

奥歯金属ブリッジ部分での症状に悩みインプラント治療により改善した症例

右下の奥歯を数本失ってしまった女性に2本のインプラントを埋入した症例 治療の解説 今回のケースは、奥歯を数本喪失された患者様において、比較的よく見られる症例です。日本の保険診療制度の影響もあり、奥歯に金属製のブリッジを装 […]

2024.10.19. ( Wed )

インプラント

部分義歯の不適合から抜歯、良く咬めるインプラントオーバーデンチャーを入れた症例

70歳代男性、残っていたすべての歯がグラグラしていたため抜歯し、上下顎に各々4本ずつのインプラントを埋入して良く咬めるインプラントオーバーデンチャーを入れた症例です。 治療の解説 上顎 残っていたすべての歯がグラついてお […]

2024.10.19. ( Wed )


  • instagramイメージ
  • facebookイメージ
大ロゴイメージ
〒412-0018 静岡県御殿場市山之尻327-1
TEL:0550-84-6480
Google Map
診療日イメージ

Copyright ©  Takane Dental Clinic All Rights Reserved.